medical software development since 1999  
  • Sante DICOM Viewer Pro

  • Sante DICOM Viewer Pro

  • Sante DICOM Viewer Pro

  • Sante DICOM Viewer Pro


Sante DICOM Viewer Pro


Work with selections, measure area and volume, make statistical analysis of a selected area

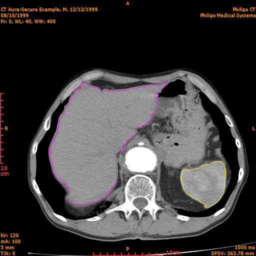
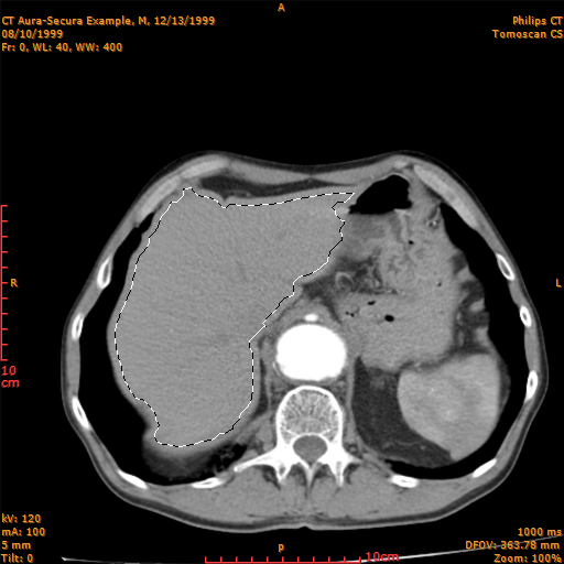
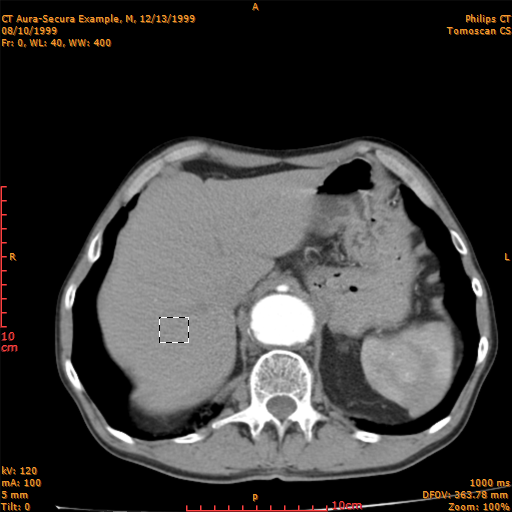
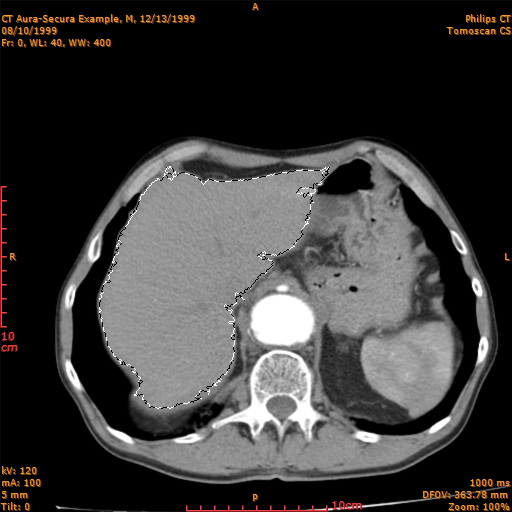
There are seven selection tools available in the program: the Rectangle tool, the Polygon tool, the Circle tool, the Ellipse tool, the Free Hand tool, the Magic Wand tool, and the Eyedropper tool. With these tools you can select a portion of an image. With any of these tools you can create a new selection, add to an existing selection, subtract from a selection, or select an area intersected by other selections. The selected area is marked with a dashed, rotated, black and white line. You can use the selection tools to measure area and volume of the selected portion or to make a statistical analysis (maximum, minimum and mean values standard deviation etc.). You can export the selected area to a text file (in form of X position, Y position, Value) for further analysis with other programs (e.g. MATLAB or ANSYS).

Contents


Selection tools accuracy

The selection tools of the program are very accurate. They have been tested for their accuracy against other well-established image processing tools like Adobe® PhotoshopTM and Corel® Paint Shop ProTM. The statistical results (number of pixels, minimum value, maximum value, mean value, standard deviation, etc.) for the same selected area, are the same in all the programs.

Back to contents


Selection tools

Rectangle:
The rectangle tool lets you select a rectangular area of your image.

Polygon:
The polygon tool lets you draw straight-edged segments of a selection border.

Circle:
The circle tool lets you select a circular area of your image.

Ellipse:
The ellipse tool lets you select an elliptical area of your image.

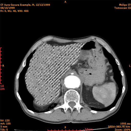
Free Hand:
The free hand tool lets you draw freehand segments of a selection border.

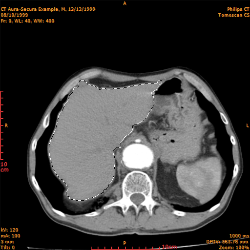
Magic Wand:
The magic wand tool lets you select a continuous area of similar intensity without having to trace its outline.
When you have selected an area with the magic wand tool and before change tool, if you modify the tolerance the selected area is modified accordingly with the new tolerance.
You can adjust the tolerance with the menu command Selection Tolerance Dialog Box of the View menu.

Eyedropper:
The eyedropper tool lets you select non-continuous areas of your image with similar intensity.
When you have selected an area with the eyedropper tool and before change tool, if you modify the tolerance the selected area is modified accordingly with the new tolerance.
You can adjust the tolerance with the menu command Selection Tolerance Dialog Box of the View menu.

Back to contents


Selection operations

NOTE: Selection operations are available in all the selection tools and in any combination of them.
In the examples is used the selection rectangle tool.

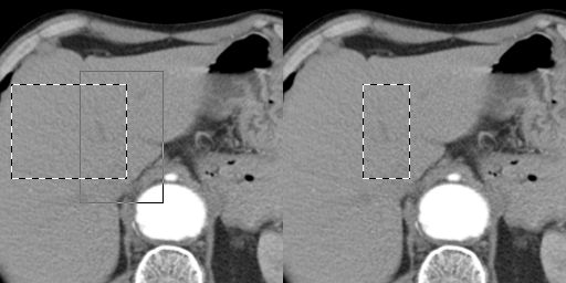
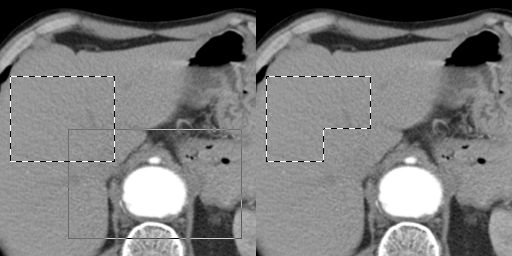
Selection Addition
Before you select the second area hold down the <Shift> key of the keyboard, and then use your mouse for the second selection.




Selection Subtraction
Before you select the second area hold down the <Ctrl> key of the keyboard, and then use your mouse for the second selection.




Selection Intersection (common area)
Before you select the second area hold down the <Shift> and <Ctrl> keys of the keyboard, and then use your mouse for the second selection.





You can use the Magic Wand and the Free Hand tools in combination, to select a complex area of your image.



Back to contents


Selection statistics, area and volume measurements

From the menu Selection, use the command Current Selection Info.
The below dialog box will show the area and volume measurements of the selected area, and a simple statistical analysis.
You can adjust the pixel spacing and slice thickness especially if this information is not included in the file's header.
If you have made selections in more than one frame, the dialog box shows the details of all the selections.



Back to contents


Export a selection to a text file

From the menu Selection, use the command Export To Text File.
The selected area of the current frame is exported in the form of X position, Y Position, Value. You can use these files from other programs, for further analysis.



Back to contents


Keep many selections as Regions of Interest (ROI)

Many times, you want to create many Regions of Interest for some kind of study. These ROIs are created from selections with the menu command Keep Selection. You can keep as many selections as you want, the only limit is the computer's memory. Use the command Kept Selection Info, to see the details of the selections. Anyone of these ROIs has its color. You can delete a ROI, modify its color, export it to a text file, or restore it back as selection.




From the menu Selection, use the command Kept Selection Info.
The below dialog box will show the area and volume measurements of ROIs, and a simple statistical analysis. You can adjust pixel spacing and slice thickness especially if this information is not included in the file's header. If you have made more than one ROIs, the dialog box shows the details of all ROIs.



Back to contents


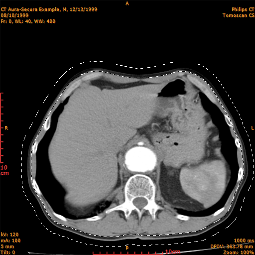
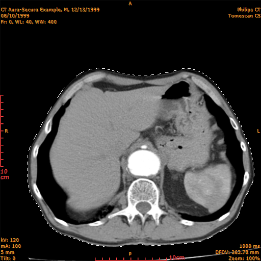
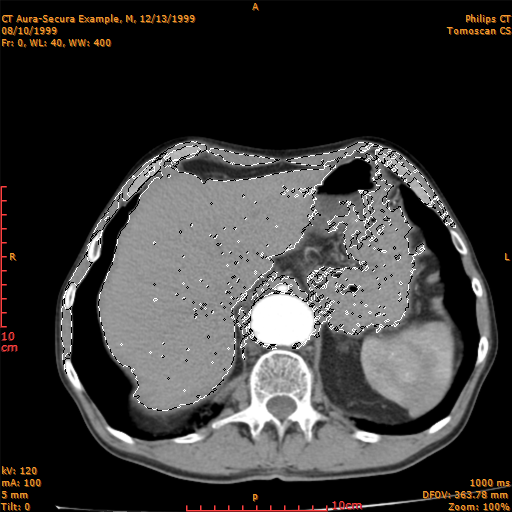
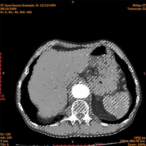
Modify a selection: Expand and Contract

From the menu select the command SelectionModifyExpand or the command SelectionModifyContract. The current selection will keep its shape, but will be expanded or contracted by a user supplied number of pixels.

Expand:
  


Contract:
  

Back to contents

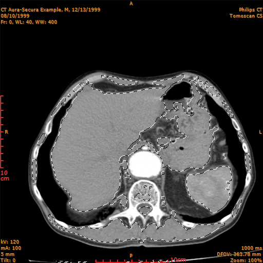
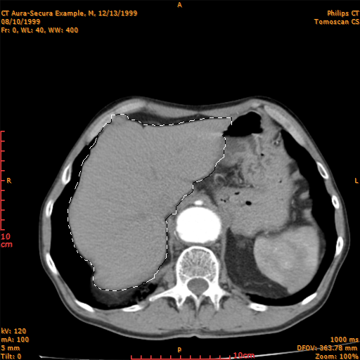
Modify a selection: Similar and Grow

Use the command SelectionModifySimilar to include in a selection all the pixels of the image with similar intensity. This action is like the Eyedropper tool, but the tolerance is adjusted automatically by the minimum and maximum values of the selected area.

Similar:
  


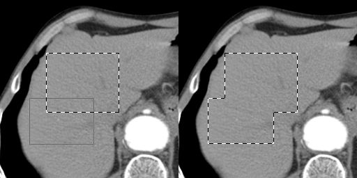
Use the command SelectionModifyGrow to include in a selection all the neighbor pixels of the image with similar intensity. This action is like the Magic Wand tool, but the tolerance is adjusted automatically by the minimum and maximum values of the selected area.

Grow:
  

Back to contents


Modify a selection: Smart Similar and Smart Grow

Use the command SelectionModifySmart Similar to include in a selection all the pixels of the image with similar intensity and standard deviation.


Smart Similar:
  


Use the command SelectionModifySmart Grow to include in a selection all the neighbor pixels of the image with similar intensity and standard deviation.


Smart Grow:
  

Back to contents


Modify a selection: trace contour

Use the command SelectionModifyTrace Contour to keep only a thick contour of the current selection.
The user can select the thickness of the border.


  

Back to contents


Modify a selection: surround

Use the command SelectionModifySurround to keep only the outer border of the current selection.
The user can select the thickness of the border.


  

Back to contents


Modify a selection: add interior

Use the command SelectionModifyAdd Interior to include the unselected areas within a selected area into the selection.

  

Back to contents


Modify a selection: Inverse Selection

Use the command SelectionModifyInvert to invert a selection to select the opposite part of the image. This command selects all the unselected areas and deselects any selected one, thus inverts the selection.

Back to contents